Vijay plaza, 7f, MG Rd, Kamaraj Nagar, Avarampalayam, Illango Nagar, Coimbatore, Tamil Nadu 641006. 94431 12949 sridental4u@gmail.com

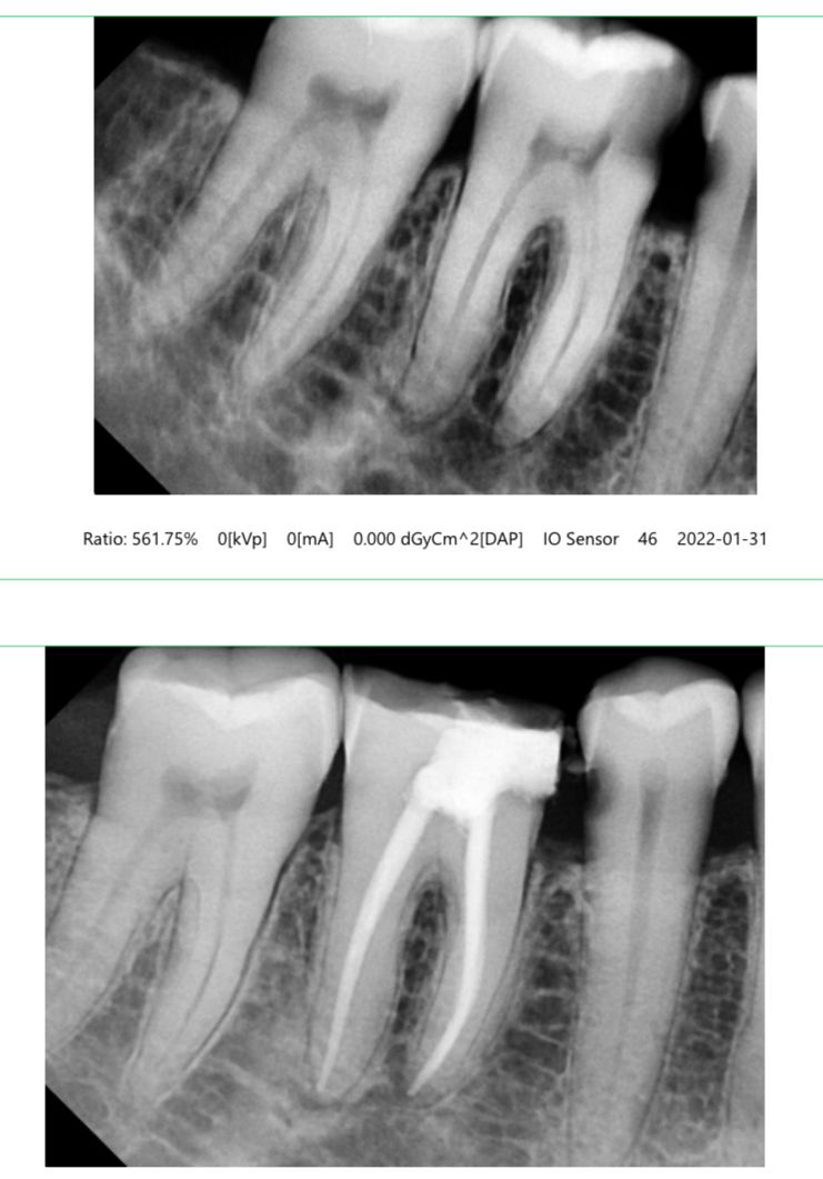
A Root Canal Treatment is a procedure that removes infected or damaged pulp from inside the tooth. It stops pain, prevents extraction, and saves your natural tooth.You may require RCT if you experience:

Persistent toothache
Sensitivity to hot or cold
Swelling around the gums
Deep decay or cracked tooth
Pain while chewing

Procedure Steps:

Diagnosis & X-ray – To identify the infected area.
Local Anesthesia – Ensures a painless experience.
Cleaning the Canals – Removal of infected pulp and bacteria.
Shaping & Disinfection – Preparing the canals for filling.
Filling the Canal – Sealing with biocompatible materials.
Crown Placement – Recommended for added protection and strength.

Benefits of Root Canal Treatment:

 Relieves tooth pain
 Controls infection
 Saves the natural tooth
 Improves chewing efficiency
Long-lasting results with proper care

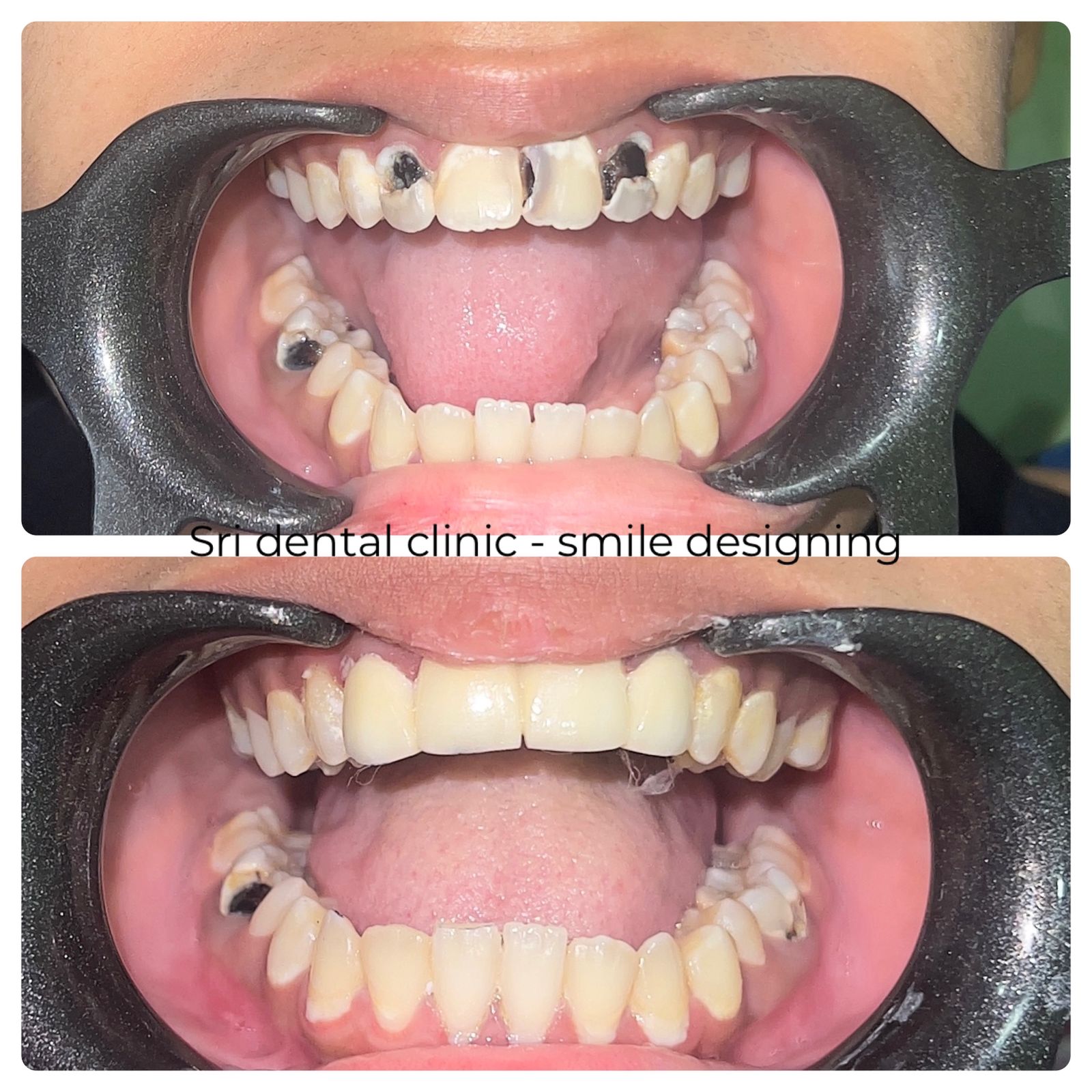
Prosthetics:

Dental Prosthetics restore lost or damaged teeth to improve oral function, aesthetics, and overall dental health.

Types of Dental Prosthetics We Offer

  Crowns
A crown is a tooth-shaped cap placed over a weak or root-canal-treated tooth to restore its shape, strength, and appearance.
  Bridges
Bridges fill the space created by one or more missing teeth, using adjacent teeth as support.
  Dentures
Comfortable removable replacements for missing teeth:
Complete Dentures (full arch replacement)
Partial Dentures (replace selected teeth)
Dental Implants A permanent solution for missing teeth. Implants act as artificial tooth roots and provide superior stability and aesthetics.

Why Choose Us?

 Painless, precision-driven treatments
 High-end digital X-rays and rotary endodontics
 Flexible prosthetic options to suit your needs
 Experienced dentists and sterilized environment
 Post-treatment care and support

After-Care Tips

 Maintain good oral hygiene
 Avoid chewing hard foods on treated teeth for a few days
 Attend follow-up visits
 Get crowns placed promptly after RCT
 Report any discomfort immediately

Get In Touch

Vijay plaza, 7f, MG Rd, Kamaraj Nagar, Avarampalayam, Illango Nagar, Coimbatore, Tamil Nadu 641006

sridental4u@gmail.com

+91 94431 12949

Consulting Hours: 9 AM to 9 PM

About Us

© Sri Dental Clinic. All Rights Reserved.      Designed By RIGHT DEVELOPERS.