Vijay plaza, 7f, MG Rd, Kamaraj Nagar, Avarampalayam, Illango Nagar, Coimbatore, Tamil Nadu 641006. 94431 12949 sridental4u@gmail.com

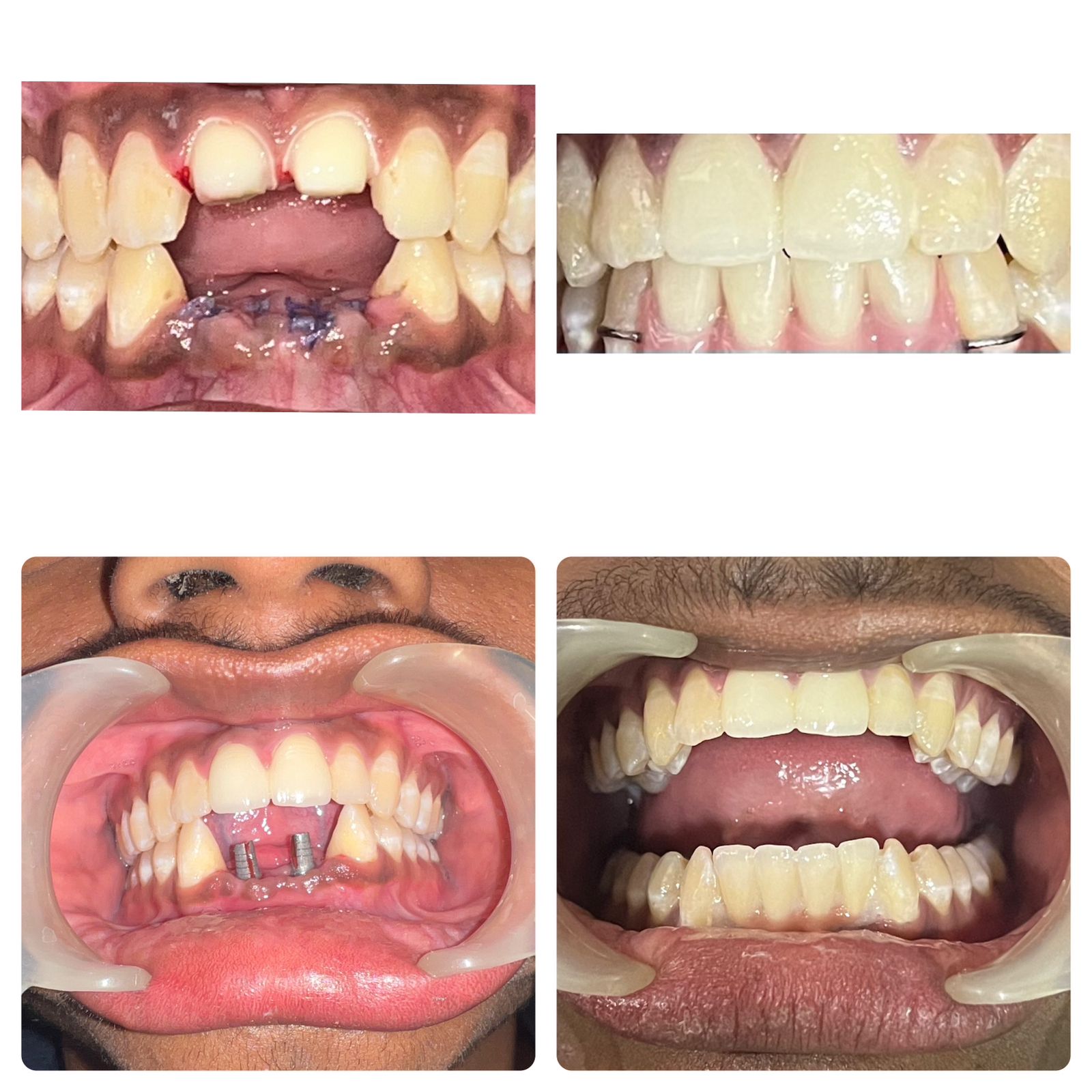
Dental Implant Surgery is a modern, permanent solution for replacing missing teeth using titanium implants that act as artificial tooth roots. These implants fuse naturally with the jawbone, providing exceptional stability and support for crowns, bridges, or dentures. The procedure restores full chewing ability, enhances smile aesthetics, prevents bone loss, and offers a long-lasting, natural-feeling replacement that looks, feels, and functions just like real teeth. With advanced techniques and precise planning, dental implants deliver reliable, comfortable, and life-changing results.

Benefits:

Permanent and natural-looking replacement for missing teeth
Restores full chewing function and comfort
Prevents jawbone shrinkage and maintains facial structure
Does not damage or rely on nearby teeth
Long-lasting results with high success rate

Get In Touch

Vijay plaza, 7f, MG Rd, Kamaraj Nagar, Avarampalayam, Illango Nagar, Coimbatore, Tamil Nadu 641006

sridental4u@gmail.com

+91 94431 12949

Consulting Hours: 9 AM to 9 PM

About Us

© Sri Dental Clinic. All Rights Reserved.      Designed By RIGHT DEVELOPERS.